The clinical application helps visualize and quantify the destructive process of diffuse lung disease (e.g. emphysema), providing a guided workflow for airway analysis, reviewing and measuring airway lumen, and assessing air trapped.
From nodule discovery to diagnosis to therapy monitoring and follow up, the IntelliSpace Portal offers a full suite of advanced visualization pulmonology tools to help. The IntelliSpace Portal is an advanced visualization solution that allows you the flexibility to view, analyze, collaborate, and report seamlessly using consistent workflow tools.
One-click 3D calcium segmentation
Rapidly quantifies coronary artery calcifications (CAC) and includes mass, Agatston score, and volume scores. It allows you to distribute automated, customizable reports electronically or on paper.

Benefits
Track lung disease
CT COPD helps quantifiably track the destructive process of diffuse lung disease (emphysema) and helps localize specific areas of the lung that have been affected.

Benefits
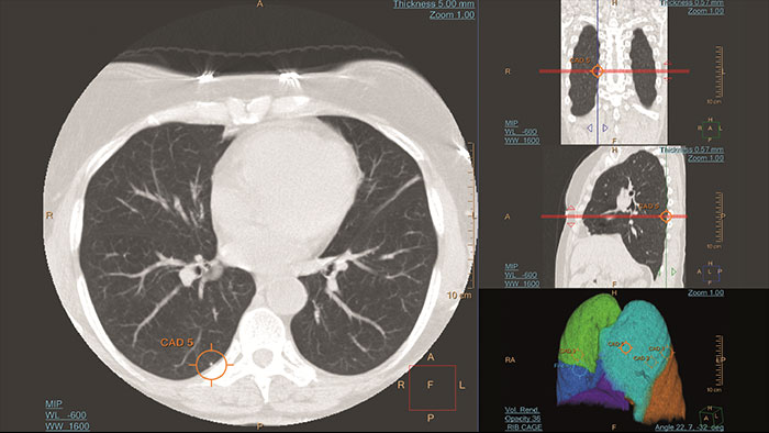
For diagnostic use and low-dose CT lung cancer screening
An advanced imaging package for the segmentation, quantification and follow-up of physician-indicated lung nodules, that can be used in both diagnostic and screening evaluations, supporting Low Dose CT Lung Cancer Screening.*

Benefits
*The screening must be performed within the established inclusion criteria of programs/protocols that have been approved and published by either a governmental body or professional medical society. Please refer to clinical literature, including the results of the National Lung Screening Trial (N Engl J Med 2011; 365:395-409) and subsequent literature, for further information. Some functionalities may not be available in all territories. Please contact Philips representative for more details.
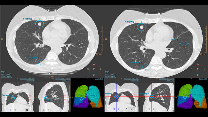
Rely on an artificial second reader Computer-aided detection system for chest multi-slice CT exams
Artificial second reader to support in detection of lesions or nodules which may have been missed.

Benefits
- detect potentially actionable lung nodules – not just round objects or ROIs - correlate 2D, 3D, and lung maps - register current and prior nodules - calculate nodule changes
*CAD functionality not available for sale in the US.
Guided pulmonary embolism discovery
CT Pulmonary Artery Analysis (PAA) offers automatic segmentation of pulmonary arteries on MDCT data to estimate the patency of pulmonary arteries.

Benefits
Allows retrospective use of spectral data that was saved as an SBI. Allows reviewing of spectral data and identification of most relevant result to be launched into the conventional CT application for routine work – even for applications that were not developed to support Spectral functionality.

Benefits
- Virtual Colonoscopy application - Liver application - Trauma Viewer (Acute Multifunctional Review) - TAVI application - PAA application - Brain Perfusion application - Functional CT (FCT) application.
IQon Spectral CT Functionality
IQon Spectral CT is the only scanner to offer CT Spectral Light Magic Glass and CT Spectral Magic Glass on PACS, helping radiologists review and analyze multiple layers of spectral data at once, including on their PACS.

Benefits
* Standard with the CT Spectral option on IntelliSpace Portal.
IQon Spectral CT* Functionality
The spectral viewer is optimized for analysis of spectral data sets from the IQon Spectral CT Scanner. Obtain a comprehensive overview of each patient quickly and easily, quantify quickly, and assist in diagnosis. It is designed to accommodate general spectral viewing needs with additional tools to assist in CT images analysis.

Benefits
* IQon CT reconstruction provides a single DICOM entity containing sufficient information for retrospective analysis - Spectral Base Image (SBI). SBI contains all the spectrum of spectral results with no need for additional reconstruction or post-processing. Spectral applications are creating different spectral results from SBI.
Streamlined workflow for follow up and analysis of oncology patients
Multi Modality Tumor Tracking (MMTT) is a post processing software used to monitor disease state and assess treatment response.

Benefits
You are about to visit a Philips global content page
Continue