Discover how Advanced Visualization Cardiac clinical portfolio helps you assessing myocardial function, volume, and scaring.
Diagnose and monitor heart diseases in a comprehensive manner. 3D models, maps, and other quantitative tools offer quick analysis support, designed to support diagnostic work. Bring advanced diagnostic imaging closer to the interventional suite by integrating your Allura / Azurion Interventional Suite with IntelliSpace Portal which automatically retrieves patient data from Portal for your scheduled patients.
One-click 3D calcium segmentation
Rapidly quantifies coronary artery calcifications (CAC) and includes mass, Agatston score, and volume scores. It allows you to distribute automated, customizable reports electronically or on paper.

Benefits
Evaluate coronaries plaque
Assess plaque sites using CT Cardiac Plaque Assessment. This application supports quantification and analysis of coronary plaque.

Benefits
Quick cardiac visualization
Provides a comprehensive set of tools that allows quick visualization of one or multiple cardiac phases.

Benefits
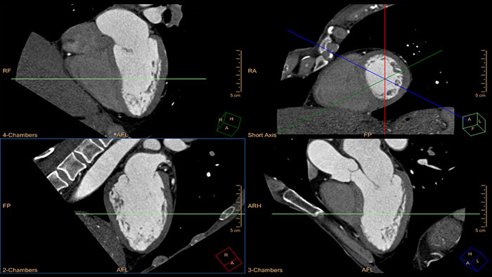
CT cardiac analysis
This application is based on an automatic 3D model-based whole-heart segmentation and zero-click coronary artery segmentation. This enables automatic extraction and visualization of the entire coronary tree.

Benefits
Fusing cardiac CT-MI images
Cardiac CT-MI Fusion incorporates support for myocardial perfusion imaging (MPI).

Benefits
un-gated stress MI datasets simultaneously with the CT.
Dynamic color maps provide an assessment of myocardial risk
This application supports visualization, diagnostic assessment, and quantification of cardiac images focusing on the left ventricular myocardium: specifically providing quantitative myocardial blood flow measurements for CT images, including the ability to identify areas of decreased perfusion within the myocardium that may represent ischemia. The application supports axial, ECG-gated CT images, consisting of multiple time shots of the same myocardial region over time. CT Dynamic Myocardial Perfusion displays the results as a composite image (single image that is calculated from a set of time course images at a single location).

Benefits
EP procedures planning
CT EP Planning allows electrophysiologists to quickly identify anatomy relevant to the EP procedure.

Benefits
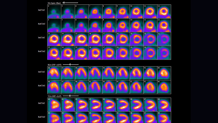
Assessing myocardial defects
Provides visual and quantitative assessment of segmented, low-attenuation defect areas within the myocardium from a single, gated cardiac CTA scan (retrospectively-gated spiral or Step and Shoot Cardiac). The CT Myocardial Defect Assessment application is based on the robust, automatic, model-based, whole-heart segmentation from the CT Comprehensive Cardiac Analysis (CCA) application.

Benefits
- color maps shown in short-axis views - segmentation maps shown on short-axis and polar plots, displayed along with long-axis reference images - volumetric visualization of coronary arteries along with segmentation maps displayed as an overlay on top of a 3D myocardial surface.
IQon Spectral CT Functionality
Benefits

IQon Spectral CT Functionality
Provides the ability to run cardiac segmentation on different energy levels, compare vessel curves with various spectral data types, and enhance the visual assessment of coronary vessel patency.

Benefits
Allows retrospective use of spectral data that was saved as an SBI. Allows reviewing of spectral data and identification of most relevant result to be launched into the conventional CT application for routine work – even for applications that were not developed to support Spectral functionality.

Benefits
- Virtual Colonoscopy application - Liver application - Trauma Viewer (Acute Multifunctional Review) - TAVI application - PAA application - Brain Perfusion application - Functional CT (FCT) application.
IQon Spectral CT Functionality
IQon Spectral CT is the only scanner to offer CT Spectral Light Magic Glass and CT Spectral Magic Glass on PACS, helping radiologists review and analyze multiple layers of spectral data at once, including on their PACS.

Benefits
* Standard with the CT Spectral option on IntelliSpace Portal.
CT imaging in TAVI to advance patient care
Provides semi-automatic measurements of the aorta and aortic valve that are useful for pre-TAVI planning.

Benefits
Streamlined modeling workflow optimized for 3D printing
IntelliSpace Portal features a dedicated 3D Modeling application for creating and exporting 3D models. An integrated segmentation environment incorporates IntelliSpace Portal’s segmentation tools in one place designed to simplify workflow.

Benefits
- 3D Modeling batches files for easy export in standard formats (i.e. STL) and also in 3D PDF that can be used for communication in department. - A variety of export options help streamline the transference of your file to a printing service, or for hospital internal use.
*In the USA, 3D models are not intended to be used for diagnostic use.
Comprehensive vascular analysis planning
Multi Modality Advanced Vessel Analysis (AVA)* is an application designed to examine and quantify different types of vascular lesions from CTA and MRA scans. AVA accommodates different modes of inspection, allows you to label different vascular lesions, and help you easily navigate through multiple findings. CT Advanced Vessel Analysis (AVA) Stent Planning allows the user to access quantitative information and stent design parameters to provide specific inputs for interventional procedures such as EVAR.

Benefits
and outer lumen contours as well as Automatic Series Creation
(ASC) are designed to reduce the time to produce final results
and contribute to consistency.
* Compared to the Philips EBW v4.x workstation.
Comprehensive cardiac review and quantifications for MR exams
MR Cardiac enables visualization via viewing protocols, of a single, multiple or all available cardiac series, including synchronization of cardiac phases. The fast initial review allows clinicians to quickly view the general results of cardiac heart exams and decide on the first analysis that is needed. Visual scoring can be done using an AHA bull’s eye plot.
The package enables comprehensive functional volumetric analysis for the ventricles, such as ejection fraction, wall motion, wall thickness and thickening. Identification of spatial enhancement based on intensity signal changes is included while bookmark functionality “frames” any view on the data that is relevant for saving or communicating to other physicians. MR Cardiac also allows for quick functional analysis using the Areal Length Ejection Fraction (ALEF) method.

Benefits
Assess myocardial tissue characteristics
The MR Cardiac Quantitative Mapping helps you assess and review myocardial tissue characteristics in multiple, user-defined, field-strength specific lookup tables.

Benefits
Identify signal intensity changes in dynamic Cardiac MR
Using dynamically resolved cardiac data (multidynamic, multi- slice), MR Cardiac Temporal Enhancement facilitates an understanding of blood flow through the heart. The application provides numerous result formats for the review of the identified temporal changes.

Benefits
Detailed 3D visualization of the segmented heart
MR Cardiac Whole Heart performs automatic segmentation of the heart into individual segments (e.g. LV, RV, atria, and coronaries).

Benefits
Visualizing and quantifying blood flow dynamics
MR QFlow supports visualizing and quantifying of flow data. Creates 2D color flow overlay maps on anatomical which can be used, for example, to calculate stroke volumes. QFlow is now also integral part of MR Cardiac suite allowing combined reporting with other analysis tools like Functional.

Benefits
NM Astonish Reconstruction is an advanced reconstruction algorithm that uses a Philips matched dual filtering technique to minimize noise and improve reconstructed image resolution and uniformity. Additionally, a CT attenuation map can be used in conjunction with NM Astonish Reconstruction to provide attenuation correction. By improving signal-to noise ratio, it can provide equivalent image quality which may shortened SPECT scan times to achieve increased throughput, enhanced patient comfort, and reduced motion-induced artifacts.

Benefits
Advanced cardiac quantification
NM Cedars Sinai Cardiac Suite 2015 provides comprehensive cardiac quantification tools for gated, perfusion, and blood pool SPECT and quantitative PET. Well known by clinicians worldwide, the Cedars-Sinai Cardiac Suite 2015 application provides efficient workflow for study interpretation with exclusive integration of perfusion and function.

Benefits
* Not available for sale in all countries. Please check for availability in specific countries.
SPECT and PET cardiovascular quantification, review, and reporting
NM Corridor4DM 2016* is designed for advanced cardiovascular quantification and image display and includes intelligent workflow and quality assurance measures. Quantify myocardial perfusion, function, and viability using multiple review screens, with integrated reporting through customizable templates. NM Corridor4DM 2016 also includes: LV surface estimation and quantification, additional normal databases to support, and GEMS Evolution SPECT reconstruction.

Benefits
* Corridor4DM is a registered trademark of Invia, LLC.
Assess cardiac mechanic dyssynchrony
Emory Cardiac Toolbox (ECTb) SyncTool provides an objective evaluation of left ventricular (LV) dyssynchrony using phase analysis.

Benefits
*Emory Cardiac Toolbox, ECTb, HeartFusion, and SyncTool are registered trademarks of Emory University.
Evaluate fused coronary anatomy
Emory Cardiac Toolbox (ECTb) HeartFusion offers fusion of a patient’s coronary tree from cardiac CT angiography with MI perfusion images.

Benefits
*Emory Cardiac Toolbox, ECTb, HeartFusion, and SyncTool are registered trademarks of Emory University.
Cardiac analysis
The NM Emory Cardiac Toolbox (ECTb) v4.1 provides advanced tools for cardiac SPECT and PET analysis including comparison of perfusion to viability data, display of 3D images with coronary overlays and gated 3D cine, normal limits for agent match/mismatch as well as optional phase analysis for wall motion and evaluation of thickening.

Benefits
*Emory Cardiac Toolbox, ECTb, HeartFusion, and SyncTool are registered trademarks of Emory University.
Enhanced user experience for NM reading
Designed to solve your clinical challenges and improve productivity when viewing PET\CT, SPECT, SPECT\CT and planar images. Optimized workflow for handling multiple studies and quantifying findings.

Benefits
* Please contact local Philips representative for details on multivendor coverage.
NM Review provides a powerful MI and multi-modality image review and analysis environment for clinical evaluation of MI planar, SPECT, SPECT/CT, PET/CT, and PET/MR examinations.

Benefits
Comprehensive reviewing tool for multiple modalities, all in a single viewer
The Multi Modality Viewer (MMV) now supports viewing and post processing of angiography images and series. Review and perform analysis of angiographic imaging alongside other modalities for a comprehensive review of the patient case. Perform vascular processing of images (Digital Subtraction Angiography) – subtraction, pixel shifting and land marking. Include key images into the generic MMV report. Prior to the intervention, relevant diagnostic (MR and or CT) data can be bookmarked and automatically retrieved upon patient selection in the Allura, or the Azurion suites.

Benefits
You are about to visit a Philips global content page
Continue