Cancer patients require constant vigilance. IntelliSpace Portal provides tools to help you evaluate the stage and treatment response at multiple time points – and efficiently perform essential follow‑ups.
Advanced 3D and graphical tools help you store, present, and communicate clinical information to support diagnostic confidence and productive collaboration.
One application for systematic review
CT Acute MultiFunctional Review (AMFR) allows the clinician reading trauma cases to remain within one comprehensive post-processing application to accomplish the diagnosis of trauma patients that were scanned with CT.

Benefits
- Viewing stage for trauma assessment. - Vascular assessment tools. - Automatic spine curve reformation and vertebra labeling. - Interactive pre-surgical MSK. - Multifunctional Findings Navigator to create, manage,
and convey findings.
Track degenerative and metabolic bone disease
CT Bone Mineral Analysis (BMA) provides quantitative CT information to measure a patient's bone density, helping the physician assess the patient's risk of osteoporosis. CT BMA provides results without the need of a reference phantom.

Benefits
Planning for oral surgery
In maxillofacial trauma cases, the course of treatment can often only be decided after a surgical consult. CT Dental Planning is designed to support enhanced surgical planning, and facilitate collaboration between radiologists and surgeons.

Benefits
Visualize data from dual-energy acquisition
CT Dual Energy Viewer provides a set of tools for registration, quantification, and visualization of dual-energy image data acquired from the Philips iCT scanner’s sequential dual-energy acquisition.

Benefits
Allows retrospective use of spectral data that was saved as an SBI. Allows reviewing of spectral data and identification of most relevant result to be launched into the conventional CT application for routine work – even for applications that were not developed to support Spectral functionality.

Benefits
- Virtual Colonoscopy application - Liver application - Trauma Viewer (Acute Multifunctional Review) - TAVI application - PAA application - Brain Perfusion application - Functional CT (FCT) application.
IQon Spectral CT Functionality
IQon Spectral CT is the only scanner to offer CT Spectral Light Magic Glass and CT Spectral Magic Glass on PACS, helping radiologists review and analyze multiple layers of spectral data at once, including on their PACS.

Benefits
* Standard with the CT Spectral option on IntelliSpace Portal.
IQon Spectral CT* Functionality
The spectral viewer is optimized for analysis of spectral data sets from the IQon Spectral CT Scanner. Obtain a comprehensive overview of each patient quickly and easily, quantify quickly, and assist in diagnosis. It is designed to accommodate general spectral viewing needs with additional tools to assist in CT images analysis.

Benefits
* IQon CT reconstruction provides a single DICOM entity containing sufficient information for retrospective analysis - Spectral Base Image (SBI). SBI contains all the spectrum of spectral results with no need for additional reconstruction or post-processing. Spectral applications are creating different spectral results from SBI.
Streamlined modeling workflow optimized for 3D printing
IntelliSpace Portal features a dedicated 3D Modeling application for creating and exporting 3D models. An integrated segmentation environment incorporates IntelliSpace Portal’s segmentation tools in one place designed to simplify workflow.

Benefits
- 3D Modeling batches files for easy export in standard formats (i.e. STL) and also in 3D PDF that can be used for communication in department. - A variety of export options help streamline the transference of your file to a printing service, or for hospital internal use.
*In the USA, 3D models are not intended to be used for diagnostic use.
Comprehensive reviewing tool for multiple modalities, all in a single viewer
Getting a full picture of your patient imaging status, begins with reviewing and analyzing images from multiple modalities in a single viewing environment. Quantify and measure disease states using multiple 3D tools as well as data from CT, MR, and other modalities (e.g. NM, DXR, US).

Benefits
Optimizing image contrasts for multi-echo MR data
MR Echo Accumulation enables the calculation of new images based on the selected sum of echo times.

Benefits
Simplify workflow with, automated calculation of whole liver volume
MR Liver Health provides global liver information from MR mDIXON images, including volume, fat fraction, T2*, and R2* parameters from the whole liver or from ROIs in an automatic and non-invasive manner.

Benefits
Improve image contrasts for MR data in dynamic studies
MR Subtraction enables subtraction calculations of dynamic studies and also provides for computation of magnetization transfer contrast ratio (MTC) images from an appropriate set of input images.

Benefits
Support in assessing lesions by reviewing blood supply characteristics
MR T1 Perfusion Analysis produces measurements of relative enhancement, maximum enhancement, time to peak (TTP), and wash-in rate. Registration of the source images in the dynamic series can remove motion artifacts, and temporal and spatial smoothing of the input data can be performed to improve SNR.

Benefits
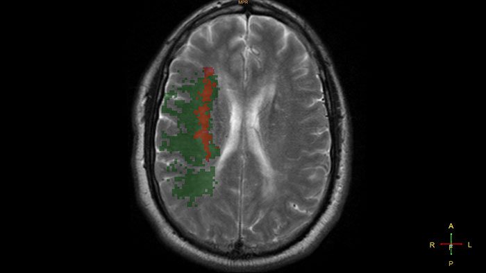
Reviewing brain tissue viability
MR T2* (Neuro) Perfusion is designed to assess brain perfusion helping with stroke assessment and other disease tracking. Visualization and quantitative analysis of the diffusion-perfusion mismatch in case of acute stroke is also included.

Benefits
NM Astonish Reconstruction is an advanced reconstruction algorithm that uses a Philips matched dual filtering technique to minimize noise and improve reconstructed image resolution and uniformity. Additionally, a CT attenuation map can be used in conjunction with NM Astonish Reconstruction to provide attenuation correction. By improving signal-to noise ratio, it can provide equivalent image quality which may shortened SPECT scan times to achieve increased throughput, enhanced patient comfort, and reduced motion-induced artifacts.

Benefits
Generate new clinical insights
NM JETPack Application Suite for general MI includes a complementary set of organ-specific applications to meet the current and evolving needs of MI users, including endocrine, gastric, hepatobiliary, lung, neuro, renal, and whole-body and bone applications.

Benefits
Enhanced user experience for NM reading
Designed to solve your clinical challenges and improve productivity when viewing PET\CT, SPECT, SPECT\CT and planar images. Optimized workflow for handling multiple studies and quantifying findings.

Benefits
* Please contact local Philips representative for details on multivendor coverage.
Streamline Molecular Imaging workflow
NM Processing Applications Suite offers comprehensive analysis and processing protocols for planar and SPECT studies including renal, lung, whole-body and bone, cardiac (first pass, shunt, and MUGA), gastric, esophageal, hepatobiliary, and endocrine applications. NM Processing Application Suite features Philips AutoSPECT Pro software for automated SPECT reconstruction and re-orientation. It also includes a set of tools to perform daily and periodic quality assurance for SPECT cameras. It now includes new display layouts.

Benefits
NM Review provides a powerful MI and multi-modality image review and analysis environment for clinical evaluation of MI planar, SPECT, SPECT/CT, PET/CT, and PET/MR examinations.

Benefits
Contrast arterial structures with surrounding bone and soft tissue to assist in identification of vascular abnormalities
The XA Vascular Processing – DSA (in MMV) expands your workflow by allowing you to read and post-process iXR images virtually anywhere. Obtain images of arteries in various parts of the body using tools to perform standard and run subtractions, pixel shifting, and landmarking. This application also provides post-processing tools to edit and optimize the DSA XA data created in the interventional room.

Benefits
You are about to visit a Philips global content page
Continue