The application generates qualitative and quantitative information about changes in image intensity over time.
Neurological cases can be challenging - especially strokes, where “time is brain” and you need to act fast. IntelliSpace Portal offers a rich suite of advanced visualization neurology tools to help you assess blood flows to different parts and tissues of the brain, and evaluate neurological degenerative diseases. The IntelliSpace Portal neurology package includes a longitudinal brain lesion tracker and smart ROI tools that are designed to support diagnostic confidence.
Advanced 3D and graphical tools help you store, present, and communicate clinical information to support diagnostic confidence and productive collaboration.
Determine areas of reduced cerebral blood flow as compared to the contralateral hemisphere in ischemic stroke
Generates qualitative and quantitative information about changes in image intensity over time. Calculates and displays quantitative perfusion maps and provide summary maps which may help physicians in determining areas of reduced cerebral blood flow compared to the contralateral hemisphere.

Benefits
IQon Spectral CT Functionality
Benefits

Allows retrospective use of spectral data that was saved as an SBI. Allows reviewing of spectral data and identification of most relevant result to be launched into the conventional CT application for routine work – even for applications that were not developed to support Spectral functionality.

Benefits
- Virtual Colonoscopy application - Liver application - Trauma Viewer (Acute Multifunctional Review) - TAVI application - PAA application - Brain Perfusion application - Functional CT (FCT) application.
IQon Spectral CT Functionality
IQon Spectral CT is the only scanner to offer CT Spectral Light Magic Glass and CT Spectral Magic Glass on PACS, helping radiologists review and analyze multiple layers of spectral data at once, including on their PACS.

Benefits
* Standard with the CT Spectral option on IntelliSpace Portal.
IQon Spectral CT* Functionality
The spectral viewer is optimized for analysis of spectral data sets from the IQon Spectral CT Scanner. Obtain a comprehensive overview of each patient quickly and easily, quantify quickly, and assist in diagnosis. It is designed to accommodate general spectral viewing needs with additional tools to assist in CT images analysis.

Benefits
* IQon CT reconstruction provides a single DICOM entity containing sufficient information for retrospective analysis - Spectral Base Image (SBI). SBI contains all the spectrum of spectral results with no need for additional reconstruction or post-processing. Spectral applications are creating different spectral results from SBI.
Streamlined modeling workflow optimized for 3D printing
IntelliSpace Portal features a dedicated 3D Modeling application for creating and exporting 3D models. An integrated segmentation environment incorporates IntelliSpace Portal’s segmentation tools in one place designed to simplify workflow.

Benefits
- 3D Modeling batches files for easy export in standard formats (i.e. STL) and also in 3D PDF that can be used for communication in department. - A variety of export options help streamline the transference of your file to a printing service, or for hospital internal use.
*In the USA, 3D models are not intended to be used for diagnostic use.
Comprehensive vascular analysis planning
Multi Modality Advanced Vessel Analysis (AVA)* is an application designed to examine and quantify different types of vascular lesions from CTA and MRA scans. AVA accommodates different modes of inspection, allows you to label different vascular lesions, and help you easily navigate through multiple findings. CT Advanced Vessel Analysis (AVA) Stent Planning allows the user to access quantitative information and stent design parameters to provide specific inputs for interventional procedures such as EVAR.

Benefits
and outer lumen contours as well as Automatic Series Creation
(ASC) are designed to reduce the time to produce final results
and contribute to consistency.
* Compared to the Philips EBW v4.x workstation.
Enhance your workflow by generating additional cDWI (calculated) images with b-values that were not acquired
MR Advanced Diffusion Analysis (ADA) is a post processing software application used to view, process and analyze MRI Diffusion Weighted Images. The application calculates and displays cDWI at a b-value of choice and provides advanced supportive analysis and visualization tools of diffusion MRI images and parametric maps.

Benefits
Detailed review of diffusion indicated lesions
MR Diffusion tool enables analysis of diffusion characteristics such as ADC, eADC, and FA in stroke cases and other diseases. Registration of the underlying data allows for reduced blurring in case data affected by motion.

Benefits
Visualize white matter connectivity in the brain
MR FiberTrak provides visualization of white matter tracts using task guidance for generating common or user-defined tracts.

Benefits
Brain activation analysis
The MR IViewBOLD package facilitates off-line functional BOLD MRI analysis for both block, event-related, and seed-based resting state analysis, so you can visualize task-related areas of activation. Automated pre-processing such dynamics registration and registration to anatomical reference enables efficient workflow.

Benefits
Gain an optimized view of the body’s most complex organ
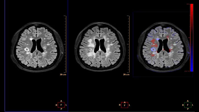
MR Longitudinal Brain Imaging (LoBI) supports evaluation of neurological disorders tracked with serial brain scans to monitor disease state and progression.

Benefits
Automatic review of total body MR data
MR MobiView combines multiple images into a single full-field view to review multi-scanner acquisitions. MobiView is displayed with a single mouse click in the IntelliSpace Portal Multi Modality Viewer. Zero-click display is also available using predefined protocol. Key clinical cases are MRA run-offs, whole body metastases screening from eye-to-thighs, and total spine views to show the complete CNS. The resulting image series can be viewed, filmed, and exported using a DICOM compliant tool.

Benefits
Automated brain image analysis solutions
MR NeuroQuant®* automatically segments and measures volumes of brain structures and compares these volumes to standard norms.

Benefits
* NeuroQuant is a trademark of CorTechs Labs, Inc.
Lesion characterization by reviewing vascular leakage
MR Permeability helps perform measurements, such as measuring the leakage of gadolinium chelates into the extra-vascular extracellular space (EES). The most important use relates to oncology of the prostate and brain. This tool calculates parametric maps such as Ktrans and Kep which is related to tracer kinetics behavior.

Benefits
Understanding the metabolic changes with MR
Proton spectroscopy data can be analyzed with the MR SpectroView application, which enables anatomy-based automatic generation of the right processing presets based on enhanced DICOM data. The package provides task guidance for easy adaptations of the final processing settings.

Benefits
Improve image contrasts for MR data in dynamic studies
MR Subtraction enables subtraction calculations of dynamic studies and also provides for computation of magnetization transfer contrast ratio (MTC) images from an appropriate set of input images.

Benefits
Reviewing brain tissue viability
MR T2* (Neuro) Perfusion is designed to assess brain perfusion helping with stroke assessment and other disease tracking. Visualization and quantitative analysis of the diffusion-perfusion mismatch in case of acute stroke is also included.

Benefits
Enhanced user experience for NM reading
Designed to solve your clinical challenges and improve productivity when viewing PET\CT, SPECT, SPECT\CT and planar images. Optimized workflow for handling multiple studies and quantifying findings.

Benefits
* Please contact local Philips representative for details on multivendor coverage.
Assessing Amyloid plaque
The NM NeuroQ Amyloid analysis tool is designed to help clinicians to assess the presence or absence of Amyloid plaque in the brain. Provides quantitative analysis tools for Brain PET scans using NeuraCeq or Amyvid agents.

Benefits
*NeuroQ is a trademark of Syntermed.
NM Review provides a powerful MI and multi-modality image review and analysis environment for clinical evaluation of MI planar, SPECT, SPECT/CT, PET/CT, and PET/MR examinations.

Benefits
Contrast arterial structures with surrounding bone and soft tissue to assist in identification of vascular abnormalities
The XA Vascular Processing – DSA (in MMV) expands your workflow by allowing you to read and post-process iXR images virtually anywhere. Obtain images of arteries in various parts of the body using tools to perform standard and run subtractions, pixel shifting, and landmarking. This application also provides post-processing tools to edit and optimize the DSA XA data created in the interventional room.

Benefits
Comprehensive reviewing tool for multiple modalities, all in a single viewer
The Multi Modality Viewer (MMV) now supports viewing and post processing of angiography images and series. Review and perform analysis of angiographic imaging alongside other modalities for a comprehensive review of the patient case. Perform vascular processing of images (Digital Subtraction Angiography) – subtraction, pixel shifting and land marking. Include key images into the generic MMV report. Prior to the intervention, relevant diagnostic (MR and or CT) data can be bookmarked and automatically retrieved upon patient selection in the Allura, or the Azurion suites.

Benefits
You are about to visit a Philips global content page
Continue