The multi-modality post-processing application is used to display, process, analyze, and quantify anatomical and functional images at one or multiple time points.
Cancer patients require constant vigilance. IntelliSpace Portal provides advanced visualization oncology tools to help you evaluate the stage and treatment response at multiple time points – and efficiently perform essential follow‑ups.
Advanced 3D and graphical tools help you store, present, and communicate clinical information to support diagnostic confidence and productive collaboration.
Quantifiable perfusion
CT Body Perfusion aids in the evaluation of acute or chronic stroke patients, as well as providing whole-organ or single-location liver perfusion.

Benefits
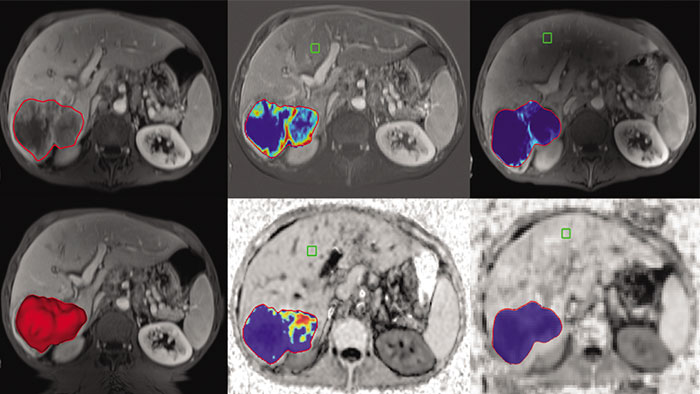
Advanced Liver segmentation
CT Liver Analysis automatically identifies the liver from a portal venous phase of a tri-phase liver scan. The application provides segmentation tools to facilitate for assessing the liver, hepatic vasculature of individual vascular segments, and physician-identified lesions. Automated segmentation tools can prove to be of use in rapidly extracting clinically reliable whole liver volumes, as evidenced by significantly shortened processing time and improved reproducibility of automated compared to manual approaches.

Benefits
For diagnostic use and low-dose CT lung cancer screening
An advanced imaging package for the segmentation, quantification and follow-up of physician-indicated lung nodules, that can be used in both diagnostic and screening evaluations, supporting Low Dose CT Lung Cancer Screening.*

Benefits
*The screening must be performed within the established inclusion criteria of programs/protocols that have been approved and published by either a governmental body or professional medical society. Please refer to clinical literature, including the results of the National Lung Screening Trial (N Engl J Med 2011; 365:395-409) and subsequent literature, for further information. Some functionalities may not be available in all territories. Please contact Philips representative for more details.
Rely on an artificial second reader Computer-aided detection system for chest multi-slice CT exams
Artificial second reader to support in detection of lesions or nodules which may have been missed.

Benefits
- detect potentially actionable lung nodules – not just round objects or ROIs - correlate 2D, 3D, and lung maps - register current and prior nodules - calculate nodule changes
*CAD functionality not available for sale in the US.
Allows retrospective use of spectral data that was saved as an SBI. Allows reviewing of spectral data and identification of most relevant result to be launched into the conventional CT application for routine work – even for applications that were not developed to support Spectral functionality.

Benefits
- Virtual Colonoscopy application - Liver application - Trauma Viewer (Acute Multifunctional Review) - TAVI application - PAA application - Brain Perfusion application - Functional CT (FCT) application.
IQon Spectral CT* Functionality
Offers a set of tools for tumor analysis. It allows the user to load several cases in parallel, each taken from a different examination time, segment and edit tumors, and perform lesion viewing and analysis based on different spectral data types.

Benefits
* IQon CT reconstruction provides a single DICOM entity containing sufficient information for retrospective analysis - Spectral Base Image (SBI). SBI contains all the spectrum of spectral results with no need for additional reconstruction or post-processing. Spectral applications are creating different spectral results from SBI.
IQon Spectral CT* Functionality
The spectral viewer is optimized for analysis of spectral data sets from the IQon Spectral CT Scanner. Obtain a comprehensive overview of each patient quickly and easily, quantify quickly, and assist in diagnosis. It is designed to accommodate general spectral viewing needs with additional tools to assist in CT images analysis.

Benefits
* IQon CT reconstruction provides a single DICOM entity containing sufficient information for retrospective analysis - Spectral Base Image (SBI). SBI contains all the spectrum of spectral results with no need for additional reconstruction or post-processing. Spectral applications are creating different spectral results from SBI.
Automatically detect potential polyps in CT colonography exams
VC VeraLook CAD* uses image processing and pattern recognition technology identify colon polyps in CT colonography images, which can help streamline the reading process and improve workflow for radiologists while supporting accuracy, consistency and productivity in colon cancer screenings. Indicated for use as a second read, VeraLook is designed to enhance clinician accuracy and efficiency.

Benefits
* VeraLook is a trademark of iCAD inc. for sale only in the US.
Reducing reading times in virtual colonoscopy
Philips exclusive CT Virtual Colonoscopy application enables 3D visualization of colon scans. The application automatically segments the air-filled colon and displays a calculated center line. The Perspective Filet view provides a synchronized display of the full colon surface wall with a single unidirectional view, reducing the need to review in both directions.

Benefits
- Colon editing GUI with improved workflow and usability. - Simplified floating dialog with editing tools per segment. - New centerline drawing capabilities. - VC user preference for: colon color, cleaning method, “Save User Settings”. - New “mirror layout” for dual monitor mode.
Streamlined modeling workflow optimized for 3D printing
IntelliSpace Portal features a dedicated 3D Modeling application for creating and exporting 3D models. An integrated segmentation environment incorporates IntelliSpace Portal’s segmentation tools in one place designed to simplify workflow.

Benefits
- 3D Modeling batches files for easy export in standard formats (i.e. STL) and also in 3D PDF that can be used for communication in department. - A variety of export options help streamline the transference of your file to a printing service, or for hospital internal use.
*In the USA, 3D models are not intended to be used for diagnostic use.
Streamlined workflow for follow up and analysis of oncology patients
Multi Modality Tumor Tracking (MMTT) is a post processing software used to monitor disease state and assess treatment response.

Benefits
Semi-automatic tumor quantification
This semi-automated 3D (Volumetric) tumor response assessment tool, based on EASL (European Association for the Study of the Liver) criteria incorporates functional information from contrast-enhanced scans.

Benefits
Enhance your workflow by generating additional cDWI (calculated) images with b-values that were not acquired
MR Advanced Diffusion Analysis (ADA) is a post processing software application used to view, process and analyze MRI Diffusion Weighted Images. The application calculates and displays cDWI at a b-value of choice and provides advanced supportive analysis and visualization tools of diffusion MRI images and parametric maps.

Benefits
Purpose-built to streamline workflow and enhance productivity for MRI Breast reading
DynaCAD Breast* has been tailored to enhance the review and analysis of MRI breast studies by providing a flexible workspace with custom hanging protocols and multi-vendor viewing capabilities.

Benefits
*Not available for sale in all countries. Please contact local Philips representative for details. Please contact local Philips representative for details on multivendor coverage.
Designed to enhance confidence, productivity, and accuracy for MRI Prostate reading
DynaCAD Prostate* provides a powerful, easy-to-navigate, multi-vendor MR image analysis application featuring custom hanging protocols with all images synchronized for easy, multi-parametric review.

Benefits
*Not available for sale in all countries. Please contact local Philips representative for details. Please contact local Philips representative for details on multivendor coverage.
Automatic review of total body MR data
MR MobiView combines multiple images into a single full-field view to review multi-scanner acquisitions. MobiView is displayed with a single mouse click in the IntelliSpace Portal Multi Modality Viewer. Zero-click display is also available using predefined protocol. Key clinical cases are MRA run-offs, whole body metastases screening from eye-to-thighs, and total spine views to show the complete CNS. The resulting image series can be viewed, filmed, and exported using a DICOM compliant tool.

Benefits
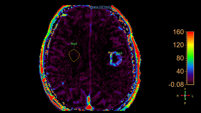
Lesion characterization by reviewing vascular leakage
MR Permeability helps perform measurements, such as measuring the leakage of gadolinium chelates into the extra-vascular extracellular space (EES). The most important use relates to oncology of the prostate and brain. This tool calculates parametric maps such as Ktrans and Kep which is related to tracer kinetics behavior.

Benefits
Understanding the metabolic changes with MR
Proton spectroscopy data can be analyzed with the MR SpectroView application, which enables anatomy-based automatic generation of the right processing presets based on enhanced DICOM data. The package provides task guidance for easy adaptations of the final processing settings.

Benefits
Improve image contrasts for MR data in dynamic studies
MR Subtraction enables subtraction calculations of dynamic studies and also provides for computation of magnetization transfer contrast ratio (MTC) images from an appropriate set of input images.

Benefits
Support in assessing lesions by reviewing blood supply characteristics
MR T1 Perfusion Analysis produces measurements of relative enhancement, maximum enhancement, time to peak (TTP), and wash-in rate. Registration of the source images in the dynamic series can remove motion artifacts, and temporal and spatial smoothing of the input data can be performed to improve SNR.

Benefits
NM Review provides a powerful MI and multi-modality image review and analysis environment for clinical evaluation of MI planar, SPECT, SPECT/CT, PET/CT, and PET/MR examinations.

Benefits
Comprehensive reviewing tool for multiple modalities, all in a single viewer
The Multi Modality Viewer (MMV) now supports viewing and post processing of angiography images and series. Review and perform analysis of angiographic imaging alongside other modalities for a comprehensive review of the patient case. Perform vascular processing of images (Digital Subtraction Angiography) – subtraction, pixel shifting and land marking. Include key images into the generic MMV report. Prior to the intervention, relevant diagnostic (MR and or CT) data can be bookmarked and automatically retrieved upon patient selection in the Allura, or the Azurion suites.

Benefits
You are about to visit a Philips global content page
Continue