Søgeord
IntelliSpace Portal, with over 70 clinical applications in total, is an advanced visualization platform that offers a single integrated solution to help you work quickly and efficiently with increased diagnostic confidence – especially during reading and follow-up of multi-faceted cases.
Request contact
We are always interested in engaging with you.
Let us know how we can help.
Ved at klikke på linket forlader du den officielle Royal Philips ("Philips") hjemmeside. Eventuelle links til tredjepartswebsteder, der kan vises på dette websted, er kun tilvejebragt for din bekvemmelighed og repræsenterer på ingen måde nogen tilknytning til eller godkendelse af oplysningerne på disse linkede websteder. Philips giver ingen erklæringer eller garantier af nogen art med hensyn til tredjepartswebsteder eller oplysningerne deri.
Jeg forstårYou are about to visit a Philips global content page
ContinueAdvancing care for the body’s most complex organ
Advancing care for the body’s most complex organ
Advancing care for the body’s most complex organ
Manage pulmonary patients with just one reading
Manage pulmonary patients with just one reading
Manage pulmonary patients with just one reading
Access multiple modalities from one integrated platform
Access multiple modalities from one integrated platform
Access multiple modalities from one integrated platform
Work with multiple patient datasets, but one unifying vision
Work with multiple patient datasets, but one unifying vision
Work with multiple patient datasets, but one unifying vision
Diagnose within multiple clinical domains, with one standard for diagnosis
Diagnose within multiple clinical domains, with one standard for diagnosis
Diagnose within multiple clinical domains, with one standard for diagnosis
Use multiple advanced tools, while maintaining one consistent workflow
Use multiple advanced tools, while maintaining one consistent workflow
Use multiple advanced tools, while maintaining one consistent workflow
Advancing care for the body’s most complex organ
Advancing care for the body’s most complex organ
Advancing care for the body’s most complex organ
Manage pulmonary patients with just one reading
Manage pulmonary patients with just one reading
Manage pulmonary patients with just one reading
Access multiple modalities from one integrated platform
Access multiple modalities from one integrated platform
Access multiple modalities from one integrated platform
Work with multiple patient datasets, but one unifying vision
Work with multiple patient datasets, but one unifying vision
Work with multiple patient datasets, but one unifying vision
Diagnose within multiple clinical domains, with one standard for diagnosis
Diagnose within multiple clinical domains, with one standard for diagnosis
Diagnose within multiple clinical domains, with one standard for diagnosis
Use multiple advanced tools, while maintaining one consistent workflow
Use multiple advanced tools, while maintaining one consistent workflow
Use multiple advanced tools, while maintaining one consistent workflow
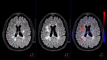
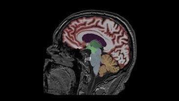
IntelliSpace Portal 9.0 delivers an advanced suite of clinical applications, with a focus on neurodegenerative disease. Neuro applications for longitudinal patient1 assessment facilitate rapid, objective, and quantitative image interpretation, even for subtle changes. IntelliSpace Portal also includes an enhanced cardiovascular portfolio, plus new technical innovations such as machine learning. This single comprehensive platform helps you meet your Advanced Visualization needs.


New clinical capabilities
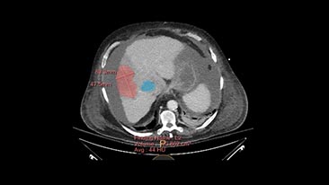
Discover new insights into the body’s most complex organ with a new longitudinal and comparative application optimized for neurology and integration of the NeuroQuant®2 application. Plus, we’ve added a suite of CT spectral applications for use with the IQon Spectral CT scanner.

Greater clinical depth
Gain enhanced diagnostic capabilities for improved workflow and clinical depth:

More integrated Connectivity is now smoother than ever with the Philips Suite of HealthCare Informatics solutions. VMware® scalability and improved prefetch and preprocessing capabilities help streamline your workflow. Improved workflow Machine learning helps predict your usage patterns to help speed time to analysis. Other operational and reporting enhancements are designed to streamline the user experience with Advanced Visualization.
Clinical advances keep coming. Hospital networks keep growing. And enterprises keep adapting to business realities. Make sure your advanced visualization keeps pace – with IntelliSpace Portal 9.0. You can streamline clinical workflows as you drive standardization and excellence across your enterprise – with just one single platform.
Detect, diagnose, and follow up with confidence
• Deliver clinically meaningful insights for complex cases across multiple domains
• Manage pulmonary patients in just one viewing environment
• Continually add clinical insight with improvements to core applications, every year
Simplify operations with one platform • Enhance flexibility with scaled VMware® options to help improve your resource utilization • Benefit from improved service options and tools for system monitoring and remote serviceability • Create custom solutions based on your network and market but drawing on our enterprise consulting capabilities
Turn change into an advantage • Facilitate consistency as well as superb clinical and workflow performance through regular software maintenance • Enjoy year-on-year enhancements to the core portfolio that help you stay at the forefront of clinical care
• Meet all your education needs with our one-stop approach, including context-based, on-demand learning at your fingertips
Ved at klikke på linket forlader du den officielle Royal Philips ("Philips") hjemmeside. Eventuelle links til tredjepartswebsteder, der kan vises på dette websted, er kun tilvejebragt for din bekvemmelighed og repræsenterer på ingen måde nogen tilknytning til eller godkendelse af oplysningerne på disse linkede websteder. Philips giver ingen erklæringer eller garantier af nogen art med hensyn til tredjepartswebsteder eller oplysningerne deri.
Jeg forstårYou are about to visit a Philips global content page
ContinueVed at klikke på linket forlader du den officielle Royal Philips ("Philips") hjemmeside. Eventuelle links til tredjepartswebsteder, der kan vises på dette websted, er kun tilvejebragt for din bekvemmelighed og repræsenterer på ingen måde nogen tilknytning til eller godkendelse af oplysningerne på disse linkede websteder. Philips giver ingen erklæringer eller garantier af nogen art med hensyn til tredjepartswebsteder eller oplysningerne deri.
Jeg forstårYou are about to visit a Philips global content page
ContinueSelect country/region
Danmark (Dansk)Vores websted vises bedst med den nyeste version af Microsoft Edge, Google Chrome eller Firefox.